Protesi

La Protesi Dentaria è un manufatto, realizzato da un Odontotecnico, sotto le indicazioni di un Medico- Odontoiatra, che restaurando o sostituendo uno o più elementi dentari reintegra le funzioni dell’apparato masticatorio e l’estetica persa o compromessa.

Si definisce anche Protesi Dentaria quella branca dell’ Odontoiatria che si occupa della progettazione e costruzione di protesi rispettando i seguenti requisiti:

– Funzionale: deve essere atta a ristabilire la corretta masticazione con le funzioni articolari (apertura-chiusura, lateralità destra-sinistra e protrusione-retrusione) ed una corretta fonetica.

Durevole: la protesi deve resistere al cario masticatorio e all’usura dei liquidi buccali.

Congrua: la protesi deve essere costruita con materiali che non siano tossici, non deve presentare situazioni che potrebbero danneggiare i tessuti, duri e molli, del cavo orale rispettandone i limiti anatomici.

Estetica: i denti artificiali devono essere il più possibile simili a quelli naturali in modo da non alterare il corretto profilo facciale del paziente.

La Protesi Dentaria, che può essere Parziale (Singola – reintegra un solo elemento dentale mancante; Multipla – reintegra più elementi dentali mancanti) e Totale (che reintegra tutti gli elementi dentari), si classifica in:

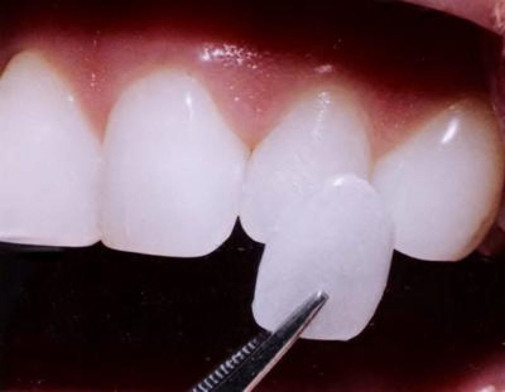
  • protesi Fissa    – su denti naturali: faccette, corone e ponti                                                                                 – su impianti: corone e ponti                                                                                                                     a) cementata                                                                                                                           b) avvitata   
  • protesi Mobile (significa una protesi che non ha nessun tipo di ancoraggio)
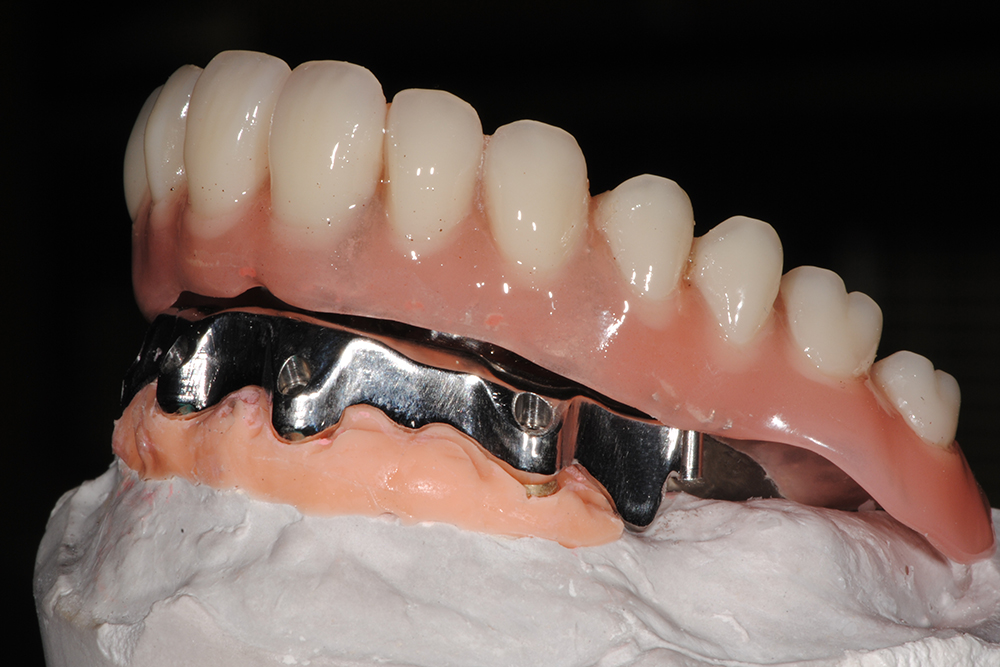
  • protesi Combinata (ossia parte fissa su denti naturali e parte mobile/removibile ancorata alla fissa)