Endodonzia
Con il termine Endodonzia si intende quella branca dell’odontoiatria che si occupa della terapia dell’endodonto, ovvero lo spazio all’interno dell’elemento dentario, che contiene la polpa dentaria, costituita da componente cellulare, vasi e nervi.
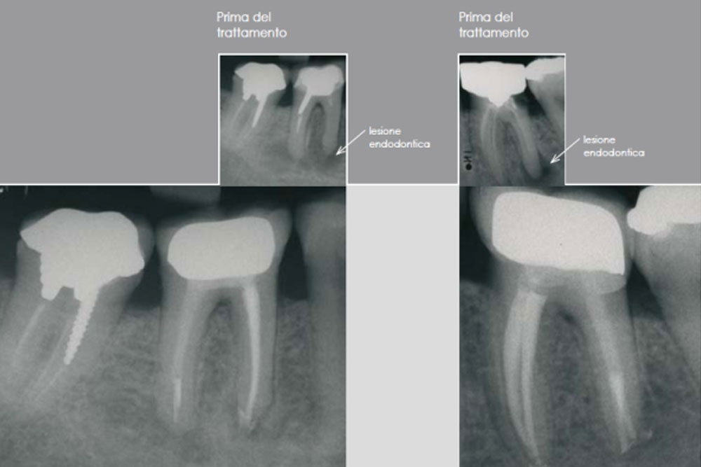
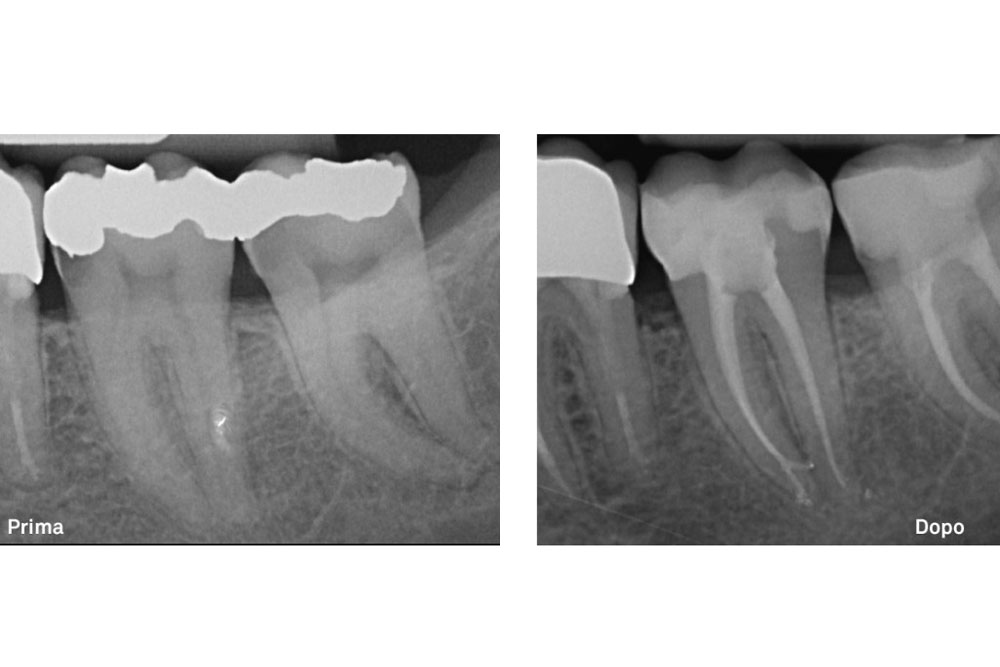
Si ricorre alla terapia endodontica qualora una lesione cariosa o traumatica al dente abbia determinato una alterazione irreversibile del tessuto pulpare, fino alla necrosi dello stesso. È possibile inoltre ricorrere a questa metodica qualora l’elemento dentario debba essere coinvolto in riabilitazioni protesiche che, a causa della notevole riduzione di tessuto dentale stesso, determinerebbero con alta probabilità un’alterazione pulpare irreversibile (necrosi pulpare per cause iatrogene).
